彰化基督教醫院醫學中心重大外傷團隊近日成功救治一名因機車自摔,導致多重內臟與骨骼損傷的19歲男性患者,再次彰顯區域級創傷中心在重大事故發生時的即時反應與跨科整合醫療能力的重要性。
該名少年送抵急診後,短時間內因體內大量出血陷入休克狀態。急診醫療團隊當機立斷,立即啟動院內「重大外傷小組」機制。包含外傷科、一般外科、骨科、胸腔外科及整形外科的專科醫師火速到位,展開跨領域的搶救行動。

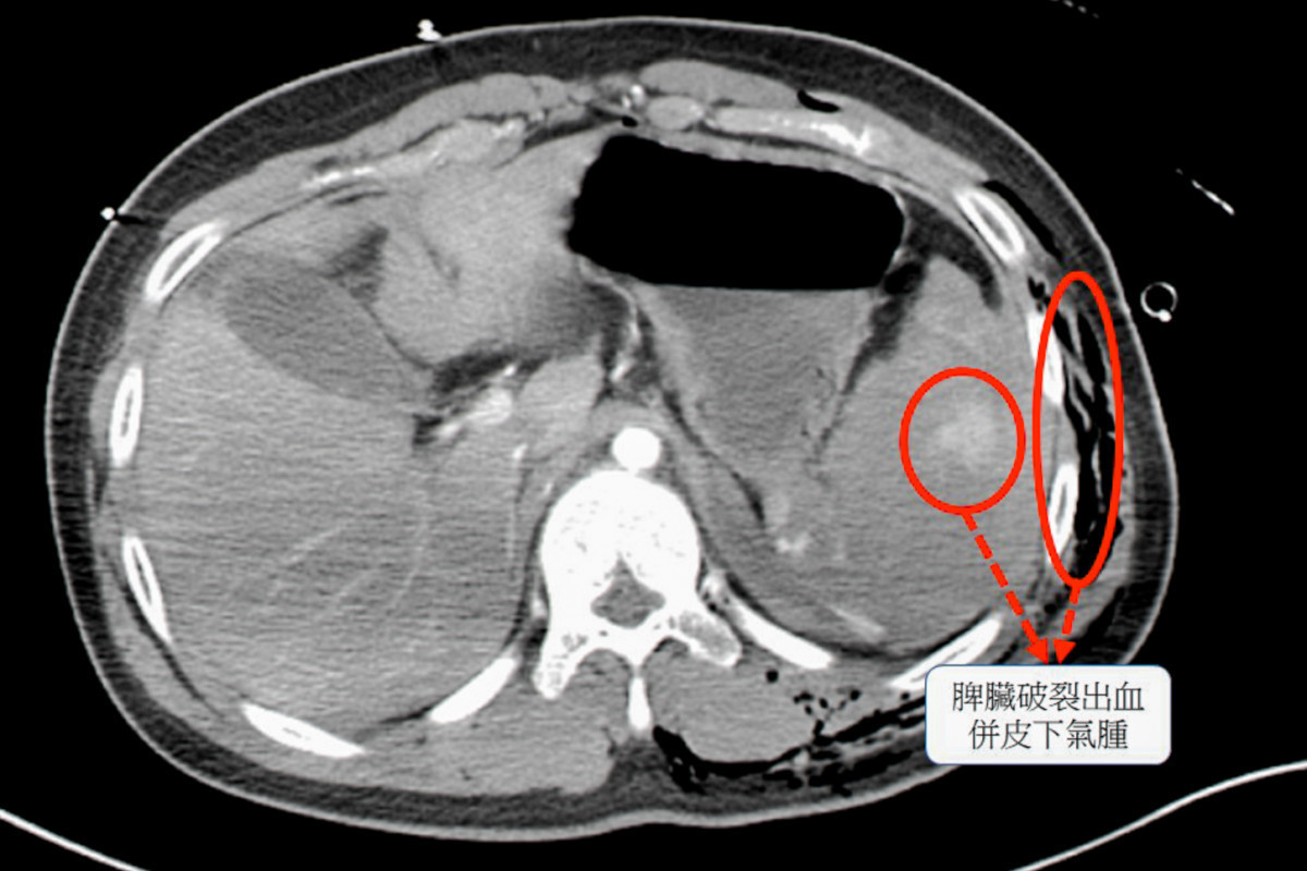
經過電腦斷層檢查,確認患者的脾臟已完全碎裂,是體內大出血的主因 ,同時合併胸腔積血、積氣,以及多處骨折與血管撕裂傷 。
電腦斷層檢查顯示,患者脾臟已嚴重碎裂,為大量出血的主要來源,並合併胸腔積血積氣、多處骨折及血管撕裂傷。外科團隊第一時間完成脾臟切除手術控制出血,隨後骨科與整形外科醫師接手進行骨折固定與血管修補,成功穩定患者生命跡象。
然而,患者術後因嚴重胸部創傷導致急性肺損傷,引發呼吸衰竭。傳統呼吸器已無法提供足夠的氧氣,危急時刻,醫療團隊果斷啟用葉克膜(體外維生系統),暫時替代心肺功能,讓受創的肺部有時間修復。經過加護病房團隊近一個月的悉心照護,患者終於康復出院,重返青春人生。

19歲男性患者因自摔導致脾臟破裂,接受緊急手術,經多科團隊緊急手術止血與修補,術後因急性肺損傷啟用葉克膜支援心肺功能,成功搶回生命契機(示意圖)。
彰基醫療長張尚文醫師表示,嚴重的內臟損傷在事故發生初期常不易察覺,此案患者最初僅訴說胸痛,卻隱藏致命內出血風險。他呼籲,民眾若發生重大撞擊事故,即使症狀輕微,也應立即就醫檢查,避免錯失黃金治療時機。同時,第一時間送往具備完整急救能力的創傷中心,對提升存活率至關重要。
總院長陳穆寬教授強調,這起救治案例的成功,仰賴一套成熟的重大外傷處置流程,以及跨科醫療團隊的無縫合作。他提醒民眾,機車騎士是交通事故高風險族群,務必遵守交通規則並配戴適當防護裝備,才能真正守護生命安全。
