台北一名33歲的陳先生,認為自己的腦袋被外星人的飛蟲入侵,持續用自己的手指,在自己的左腦顳葉處持續挖了一年,把頭骨挖出一個大洞,直到出現中風的跡象送醫,家人才發現這恐怖的狀況。
萬芳醫院精神科醫師潘建志表示,這名病人因為精神分裂的症狀,妄想自己被外星人高科技送出的電子生物從脖子入侵,並且寄生在左邊頭骨的後方,所以才會持續一年的時間用手指挖腦,想要將該外星飛蟲挖出。
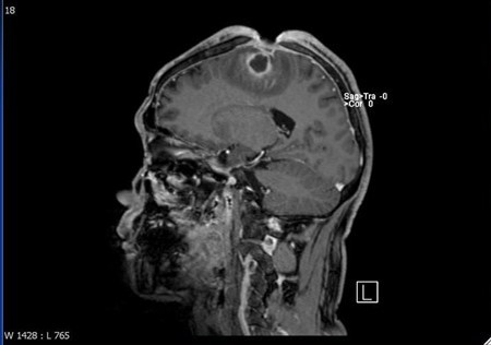
結果陳先生竟然在自己的腦袋挖出5×3×2公分的傷口,這一年期間,他生活、上班一切都沒有異狀,只是習慣用戴帽子的方式將傷口遮住,所以家人同事都沒有發現異狀,結果因為傷口感染,出現類似中風的狀況,家人在協助送醫之後,才知道陳先生竟然將自己的頭骨,腦膜都給挖破了。
33歲的陳先生是一般人所謂的「宅男」,平常不擅與人接觸,在社交生活上也十分退縮,由於喜歡收集外星人相關的資訊,並且認為自己一直在跟外星人溝通,結果出現精神分裂的症狀。
傷口因為感染嚴重,醫生除了使用抗生素治療了3個月,還進行清瘡和顱骨重建手術,潘建志表示,這類患者在治療時必須先建立雙方信任關係,才能說服病人進一步治療。病人也因為腦部感染的後遺症,導致右側肢體無力,而復健長達半年的時間。
醫生提醒,類似的精神分裂症狀況,醫學已經有多種新藥,效果良好並且副作用少,日常生活當中大家應該多關心身邊的家人朋友是不是有異狀,如果持續的有怪異的行為和脫序的言詞,甚至自我傷害,應該要儘快前往精神科鳩受診治,以免耽誤了病情。
